
Transform Your Smile With Implants
Why Should I Get Dental Implants?
Benefits of Dental Implants
- Improved durability: Your new prosthetic will last significantly longer than traditional bridges or crowns, up to 20 years, when cared for properly.
- Natural feeling: Since titanium fuses directly with jawbone tissue, you'll feel like it's part of you when speaking or eating.
- Increased confidence: You won't be self-conscious about gaps in smiles anymore.
- Easier maintenance: Unlike other options, there is no need for gluing down removable appliances like partial/full denture plates
Expert Dental Implant Care
Our dedicated team at Inspire Smiles consists of some of the top-rated experts in the Richmond, TX, area, which makes us one of the best places city-wide, if not statewide, to get implant-related procedures done the right first time around! In addition, cutting-edge technologies such as 3d imaging & CAD/CAM milling machines give our patients the best possible product available today!
Dental implants are evaluated in accordance with international consensus standards and also go through biocompatible testing. It helps to show that bodily contact with devices does not cause complications like irritation or allergic reaction.
Dental Implants - A Permanent Solution for Missing Teeth
What Makes Us Different At Inspire Smiles?
Are You A Good Candidate For Implants? Schedule An Appointment
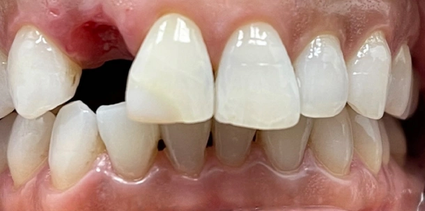
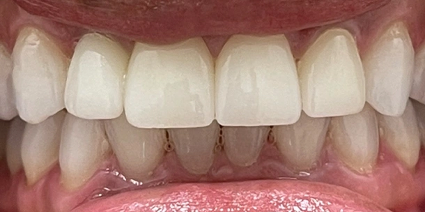
See the Difference Dental Implants Make

Before

After

Before

After

Before

After

